Radiología
Preparación para la obtención de radiografías simples
- Se debe determinar en el caso de las mujeres, que estén o no embarazadas. El uso de rayos X está contraindicado en caso de embarazo.
- Retirar los objetos metálicos.
- Durante el estudio el paciente debe permanecer inmóvil (1 segundo por toma).
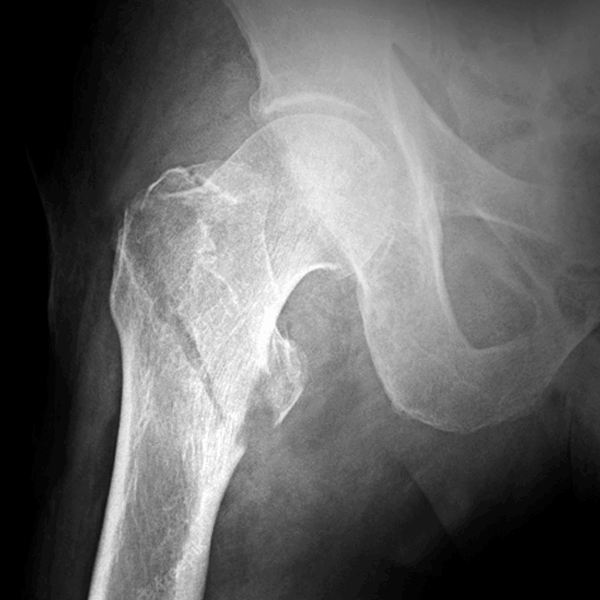
Radiografías simples de las articulaciones
(Clavícula, omóplato, mano, pie, dedos, huesos largos y mandíbula)
- Permiten la evaluación de fracturas, tumores, infecciones, alteraciones estructurales y enfermedades degenerativas.
Radiografías de la columna vertebral
- Evalúan las causas de dolor vertebral, fracturas, tumores, alineación, alteraciones estructurales y enfermedades degenerativas.